武汉百意欣生物技术有限公司

12

手机商铺

qrcode
商家活跃:
产品热度:
  • NaN
  • 0.7000000000000002
  • 0.7000000000000002
  • 2.7
  • 2.7

武汉百意欣生物技术有限公司

入驻年限:12

  • 联系人:

    岳先生

  • 所在地区:

    湖北 武汉市 洪山区

  • 业务范围:

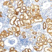
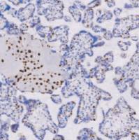
    技术服务、抗体、ELISA 试剂盒

  • 经营模式:

    生产厂商 科研机构

在线沟通

全部产品

搜索到2415条记录

我的询价